Norpan kinnerten ja kyynärten röntgenkuvat
19. joulukuuta 2013
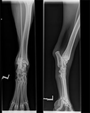
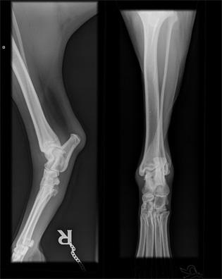
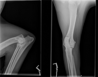
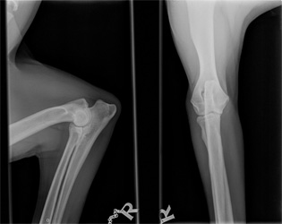
Norpan jalkavaivoista tai yleensä OCD:sta kiinnostuneet voivat vilkaista alla olevia kuvia. Kuvat on otettu ajalta ennen kinnerten tähystystä ja ne saa suuremmaksi klikkaamalla. Lisäsin linkkien takaa löytyviin kinnerkuviin muutamia huomioita, jotka jäivät Esa Eskeliseltä ja Kai Skutnabbilta haetuista lausunnoista mieleen. En osaa itse tulkita röntgenkuvia, joten toivottavasti muistini ei reistaillut noita yksityiskohtia merkkaillessa. Kyynärkuvista jätin huomiot pois, koska en osaa osoittaa vasemmasta kyynärästä riittävän tarkasti sitä kohtaa, jossa Skutin mukaan on vähäisiä reaktioita havaittavissa. Eskelinen suositteli lausunnossaan myös kyynärnivelten tähystämistä, mutta Skutin mukaan oikea kyynärnivel on puhdas eivätkä vasemmankaan reaktiot viittaa OCD:hen.
Kinnernivelet
Kyynärnivelet
Ei vielä kommentteja. Olisitko sinä ensimmäinen kommentoija?




